Rich spent another session in the phantom head suite in Manchester as part of a year long PG Certificate in Operative Dentistry. This module involved practising placement of composite restorations. This session was all about incorporating the correct anatomical features to build up fractured or damaged front teeth. The images below highlight the staged process used to build up a front left incisor utilising a palatal shelf technique and layered composite system (venus pearl). The example presented below was not intended to be present an accurate shade match but provided an opportunity to place coloured effects within the tooth to gain an appreciation of the powerful tools available to create bespoke aesthetics specific to the clinical case requirements whilst concentrating on delivering an anatomically appropriate restoration.
PREPARATION OF A CLASS IV CAVITY – NOTE THE IRREGULAR ENAMEL BEVEL INCORPORATED TO BREAK UP LIGHT WHEN ADDING COMPOSITE AND ALSO TO EXPOSE ENAMEL PRISMS WITH 60 DEGREE CAVO SURFACE ANGLE AND IMPROVING THE ETCH PATTERN.

COLOUR SHAPERS USED TO CONTOUR COMPOSITE EASILY
PUTTY INDEX (ABOVE) USED TO PLACED 0.3mm OF VENUS CL COMPOSITE AS PALATAL SHELF (BELOW).
BELOW – INCISAL HALO EFFECT INCORPORATED WITH VENUS PEARL BXL
BELOW- DEVELOPMENTAL GROOVES AND LOBES INCORPORATED WITH VENNUS OCL

VENUS PEARL COMPOSITES – A LAYERED INCREMENTAL APPROACH WAS USED TO RESTORE THE CLASS IV CAVITY. VENUS CL TO CREATE THE 0.3mm PALATAL SHELL AND INTERPROXIMAL MARGIN, VENUS BXL TO CREATE INCISAL EDGE HALO, VENUS OLC TO PREVENT TRANSLUCENCY AND INCORPORATE LOBES. FINALLY, VENUS ENAMEL A2 PLACED AND SHAPED.

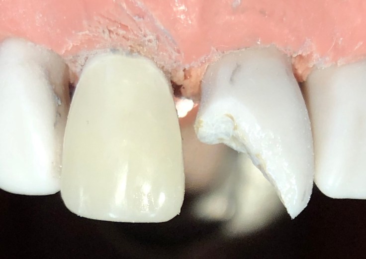
COLOUR EFFECTS – PRACTISING WITH BROWN, BLUE AND WHITE – THE INTENSION WAS TO GO OVERBOARD TO APPRECIATE THE OPTICAL EFFECTS IN THE FINISHED PRODUCT – A SMALL SUBTLE AMOUNT GOES A LONG WAY!

THE RESTORATION WAS POLISHED WITH SOFLEX DISCS (RED-ORANGE) – ASAP (OPTIDENT) POLISHING WHEELS WERE USED TO REMOVE FINAL SCRATCHES – THE YELLOW, BROWN AND BLUE EFFECTS ARE OBVIOUS BUT HIGHLIGHT THE POTENTIAL TO CREATE BESPOKE AESTHETICS DEPENDENT ON THE CLINICAL REQUIREMENTS.

Restoring anterior aesthetics requires attention to meticulous isolation, use of magnification, preparation design, matrix and wedging, placement technique and finishing. Shade selection involves assessing the mid 1/3 of the tooth where the enamel/dentine relationship is most pronounced. Taking note of the incisal 1/3 translucency, halo, opacity and amber hue is important in planning. Preparation guidelines are considered and ultimately should involve conservation of tooth tissue, caries and unsupported enamel removal and finally enamel preparation to include a chamfer or bevelling. Incorporating an irregular bevel to a 60 degrees cavo surface angle works to expose heads of enamel prisms, improve etch patterns as prisms are etched perpendicular to their long axis and leads to a stronger bond and marginal seal via inter and intra prismatic bonding. Care with bevelling must be taken where thin edges of material are left resulting in future chipping and staining and white line formation. Restorations should be invisible at 50cm speaking distance and the use of layering and stratification techniques can help achieve this using 2 or 3 layers of enamel and dentine shades. Layering is important in stress reduction, achieves better polymerisation, better aesthetics and allows control in the delivery of more accurate enamel morphology. The incorporation of developmental grooves and lobes is important to produce a natural appearance consistent with the age of tooth. The use of a putty index should be routine in practice and taking the time to create one from a wax up to restore a class IV incisal edge fracture is worth the additional indirect step when planning. The images above highlight the step wise approach using the matrix to create a palatal shell and the incorporation of incisal halo and dentine lobes and other effects using the Venus range of nano-hybrid composites. Using the colour shapers to create the anatomical features allows fine control and use of orange and red soflex discs and other polishing products including ASAP wheels (Optident) and Occlubrush (Kerr) creates a high quality finish free from scratches and with a high luster.
Leave a comment